პირველად ისტორიაში, ქირურგებმა წარმატებით გამოასწორეს ნაყოფის თავის ტვინში არსებული მნიშვნელოვანი პათოლოგია. კვლევა ჟურნალ Stroke-ში გამოქვეყნდა.
მას ძირითადად დაბადების შემდეგ მკურნალობენ ემბოლიზაციით; ამ მეთოდით, ვენის დასაბლოკად, ქირურგები მასში სპეციალურ მასალას ათავსებენ, მაგალითად, შედედების აგენტს, რომელიც სისხლს შედედებას უწყობს ხელს და შესაბამისად, ხელს უშლის სისხლის ნაკადს.
თუმცა, დაბადების შემდეგ, მდგომარეობა შეიძლება სწრაფად გაუარესდეს. პლაცენტის დაბალი რეზისტენტულობა ხელს უწყობს სისხლის ნაკადისა და წნევის რეგულირებას, რაც ნაყოფის გარკვეულ თავდაცვას განაპირობებს, მაგრამ ეს თავდაცვა დაბადებისთანავე ქრება. დაბადებიდან მალევე, იხურება პატარა სისხლძარღვი, რომელიც ფილტვის არტერიას აორტასთან აერთებს; ამის გამო, იმატებს წნევა ფილტვის არტერიებში.
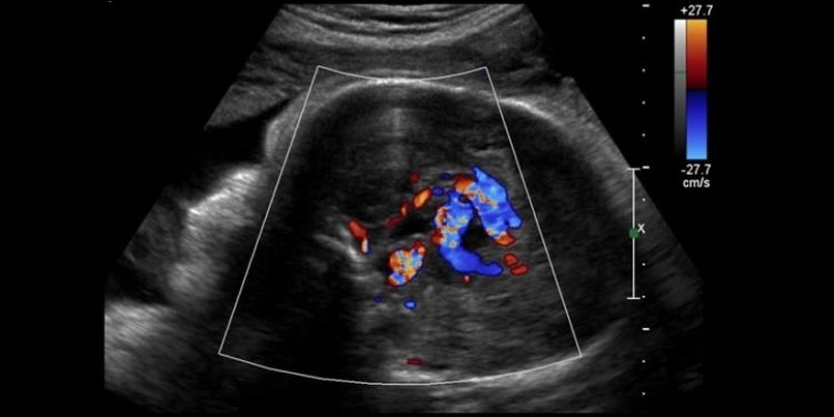
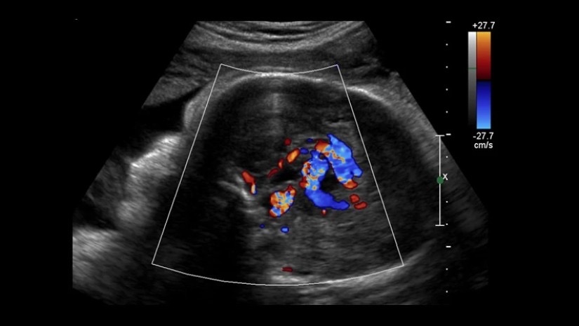
იშვიათი პრენატალური (დაბადებამდელი) მდგომარეობის სამკურნალოდ, ბოსტონის ბავშვთა ჰოსპიტლისა და Brigham and Women’s ჰოსპიტლის ქირურგებმა მეთოდი, სახელად ემბოლიზაცია გამოიყენეს. დაავადებას გალენის ვენის მალფორმაციას (VOGM) უწოდებენ და წარმოადგენს სისხლძარღვთა ანომალიას, რომლის გამოც, ბავშვის დაბადების შემდეგ, მისი თავის ტვინის გარკვეულ ნაწილში სისხლი სახიფათოდ ჩქარა მოძრაობს. პროცედურის წარმატება აჩენს იმედს, რომ ამ დაავადების მკურნალობა იქამდე იქნება შესაძლებელი, ვიდრე გართულებათა რისკი გაიზრდება.
მიუხედავად იმისა, რომ ამ გზით მკურნალობა მსოფლიოში პირველად მოხდა, პროცედურა აბსოლუტური გამარჯვებით დასრულდა.
„მიმდინარე ცდაში, გალენის ვენის მალფორმაციის დაბადებამდევე სამკურნალოდ ვიყენებთ ულტრაბგერით მართვად საშვილოსნოსშიდა ემბოლიზაციას. მკურნალობის პირველ შემთხვევაში, აღფრთოვანებული დავრჩით პათოლოგიის აგრესიული შემცირებით“, – ამბობს ბოსტონის ბავშვთა ჰოსპიტლისა და ჰარვარდის სამედიცინო სკოლის ნეიროინტერვენციული რადიოლოგი დარენ ორბახი.
მისი განცხადებით, ახალშობილი უკვე ექვსი კვირის არის, პროგრესირებს გამორჩეულად კარგად, არ საჭიროებს პრეპარატებს, ჭამს ნორმალურად და იმატებს წონაში. თავის ტვინში არ შეიმჩნევა რაიმე უარყოფითი ეფექტები.
ჩვილი ორი დღის შემდეგ დაიბადა,რადგან პროცედურამ საშვილოსნოს გარსების ნაადრევი რღვევა განაპირობა. თუმცა, დაბადების შემდეგ, ჩვილის გულ-სისხლძარღვთა სისტემა ნორმალურად მუშაობდა და არ საჭიროებდა დამატებით მხარდაჭერას ან ქირურგიულ ჩარევას. გამომდინარე იქიდან, რომ მშობიარობა ნაადრევი იყო, ჩვილი ჰოსპიტალში რამდენიმე კვირის განმავლობაში დატოვეს და ექიმები მის თავის ტვინზე დაკვირვებას აგრძელებდნენ.
საერთოდ არ შეიმჩნეოდა რაიმე ნევროლოგიური დარღვევა, სითხის დაგროვება ან სისხლდენა, დედა-შვილი სახლში სრულიად ჯანმრთელები გაწერეს.
ვინაიდან ის მიმდინარე ცდის პირველი პაციენტია, მეთოდი ჯერ საერთოდ არ არის მზად ფართო გამოყენებაში დანერგვისთვის. ერთი წარმატებული შემთხვევა საკმარისი არ არის, რათა თამამად ითქვას, რომ ეს მეთოდი ზოგადად წარმატებულია. მომავალმა შემთხვევებმა შეიძლება ასე კარგად არ ჩაიაროს; ჯერ კიდევ დასადგენია, აღემატება თუ არა ამ პროცედურის სარგებელი რისკებს.
თუმცა, შედეგები ძლიერ იმედისმომცემია. ამ დროისათვის, ბავშვი შესანიშნავად არის, რაც იმაზე მიუთითებს, რომ პრენატალური ქირურგია შეიძლება ბევრისთვის სასიცოცხლოდ მნიშვნელოვანი გახდეს.












